Selasa, 30 April 2013

Dental Implants: A Treatment for the Geriatric (Elderly) Person


Dental Needs of Today’s Aging Population
  1. Today’s elderly population is:
  2. Experiencing an increase in life expectancy.
  3. Experiencing continued tooth loss and need for biologically sound dentition.
  4. Greater numbers of elderly seeking quality dental care.
  5. Traditional removable prostheses provide less patient satisfaction.
  6. Traditional removable prostheses contribute to long-term bone loss. 

Today, the aging population includes the elderly and the geriatric population.  With the increase in life expectancy and overall improved quality of life in the current aging population, there is a greater demand for dental care. While there are fewer missing teeth in this population than in the past, replacement of missing teeth continues to be a concern. While fixed bridgework replaces a few missing teeth, removable, partial or complete dentures have been the treatment of choice for multiple missing teeth. Both removable, partial and complete dentures provide less patient satisfaction than a full complement of natural teeth. Prostheses provide less stability, chewing force and sensory input. Traditional removable partials and compete dentures contribute to long-term ridge resorption and less bony support of the jaws.

Implants Can Transform  Your Smile! 

Impact of Tooth Loss on Overall Health
·         Edentulous patients eat fewer fresh fruits and vegetables.
·         Edentulous patients have greater weight loss.
·         Overall health of patient improves with improved masticatory ability.
A full complement of teeth provides the elderly patient with the ability to masticate a variety of foods and will help improve the quality of their diet. With a varied and balanced diet, the overall health of the patient is improved.

Replacement of Missing Teeth with Implant-Supported Fixed Crowns and Bridgework

In the past, the patient above might have only been offered the option of a removable partial denture to replace the missing teeth.  The implants and fixed crowns and bridgework that were fabricated for this patient will offer much greater stability and chewing satisfaction.
Implants Supporting Fixed Crown and Bridgework

Implant-supported bridgework replacing one or more teeth may be preferable to long-span traditional fixed bridges.
Implants can offer the additional benefit of eliminating long-span bridges. It is difficult to define what a long-span bridge is without identifying other parameters such as number of missing teeth, measurement of the span, occlusal forces and the condition of planned abutment teeth. Nevertheless, it is well known that a variety of situations can lead to early failure of fixed bridges. Multiple studies indicate that implant-supported restorations have a longer life expectancy than many compromised fixed bridge situations.1Therefore, an edentulous area restored with one or multiple dental implants can be a better long term investment for the patient.

Edentulism’s Effect on the Bony Ridge of the Mandible

Severe bone loss is exhibited on the side with no tooth roots in this case. The presence of teeth will help preserve the amount of bone in the mandibular ridge. Dental implants act the same as tooth roots in the preservation of bony tissue.
As more and more teeth are lost, the effect on the boney support is devastating.  In the past, the client could only be offered the removable prostheses which frequently proved unsatisfactory and was not worn.
With advancing edentulism, lack of teeth, the degree of bone in the mandible or lower jaw diminishes and traditional dentures become difficult to wear successfully.

Mandibular Overdentures
·         Improve the stability and retention of the denture
·         Can be placed over tooth roots or over implants
·         Tooth roots provide sensory feedback but can decay or lose support due to periodontal disease or fracture
·         Both tooth roots or implants will help retain the bone in the mandibular ridge
Overdenture Abutments

The retention of the roots of endodontically-treated canine teeth was used in the past to help preserve bone for a complete overdenture. 
Removable Prosthesis Supported by Implants:  Two Options

·         Tooth replacement with implant-supported or implant-assisted overdentures provides greater patient satisfaction with comfort and chewing.
·         Stability and retention of denture is improved.
Two categories of restorations can be described:
1)      Implant-Supported Overdenture - A removable prosthesis that is totally supported by implants and the attached superstructure. It derives no support from the mucosal tissue but may contact the tissue.
2) Implant-Assisted Overdenture - A removable prosthesis that has some support provided by the implants and the superstructure, but is also dependent on the mucosal tissue for support.

Implant Restoration Options For Complete Overdentures
Dentures can either be assisted with dental implants or supported by dental implants.
1. Implant-assisted restorations: The denture relies on some degree of support from the oral tissues or edentulous arches as well as the implants.
2. Implant-supported restorations: The denture gains all of its support from the dental implants and attached structures.
Implant-Assisted Complete Removable Overdenture Restorations


Example of an implant-assisted denture. The denture gains support and retention from the two implants connected by a metal bar. Plastic clips help the denture attach to the implant bar. But the denture also relies on the posterior ridges of the mouth for support.
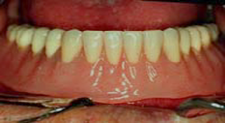
This is also an implant assisted complete denture.  The most common treatment of an edentulous patient with dental implants is the placement of two implants in the lower arch. The abutments in this case are pegs over which denture “O” ring attachments snap.  The denture is removable by the patient, but provides much greater stability and retention than a traditional mandibular denture. Bone is also preserved in the mandible with this restorative treatment.
Implant-Supported Restorations
All of the denture’s support is derived   from the implants and bar.

Four implants are placed in the anterior mandibular region and are connected with a metal bar.
The denture attaches to the bar with plastic clips. Due to the number and location of the dental implants, all of the denture’s support is provided by the bar.
Screw-Retained Implant-Supported Overdenture 

Five implants are placed in the mandibular anterior.

Overdenture:
Removable by Dentist

This is constructed with a metal substructure that screws into the implants. This appliance is removable by the dentist.
A Screw-Retained Denture 

Concerns About Recommending Dental Implants for the Elderly Fact or Fiction
·         Longer healing time
·         Inadequate osseointegration of implants
·         Loss of implants due to inadequate oral hygiene
·         Patient’s desire and expectations for dental implants may differ with age
Are dental offices including the option of dental implants for elderly clients as frequently as they are for younger clients?  Is there a perception that implants will not be as successful in the older population due to these unfounded concerns?
Patient’s Expectations
·         Increased resistance to implant surgery - “I’m too old”.
·         Long-term edentulous patients may be more tolerant to ill-fitting conventional dentures.
·         Recommendations for implant-assisted restorations should occur early in edentulism.
·         Elderly patients may take a greater period of time to adapt to a new prosthesis.
Elderly patients who have been edentulous for a long period of time may be tolerant of ill-fitting, traditional dentures and not desire improved performance. Recommendations for implants should occur soon after teeth are lost.  Patients that lose their teeth rapidly or at an early age will have more difficulty with traditional denture fit and comfort than a patient who has lost their teeth over a long period of time.  Even with improved function, elderly patients may take a longer period of time to adapt to the new prostheses because the muscular learning process takes longer.
Success Rate of Implant Placement
·         Success rate of implants in the healthy elderly population is the same as that of younger age groups.
·         Degree of osseointegration with healthy geriatric patients is comparable to that of the younger population.
Mandibular Overdentures
·         Improve the stability and retention of the denture.
·         Can be placed over tooth roots or over implants.
·         Tooth roots provide sensory feedback but can decay or lose support due to periodontal disease or fracture.
·         Both tooth roots or implants will help retain the bone in the mandibular ridge.
Growing Need for Satisfactory Tooth Replacement

Tooth replacement with implant-supported or assisted dentures provides greater patient satisfaction with comfort and chewing.
Stability and retention of denture is improved.
Two categories of restorations can be described:
Implant-Supported Overdenture - A removable prosthesis that is totally supported by implants and the attached superstructure. It derives no support from the mucosal tissue but may contact the tissue.
Implant-Assisted Overdenture - A removable prosthesis that has some support provided by the implants and the superstructure, but is also dependent on the mucosal tissue for support.

Risk Factors for Dental Implant Success in the Elderly
·         Oral Hygiene
·         Xerostomia
·         Cardiovascular disease
·         Diabetes
·         Osteoporosis
·         Cancer
Implant therapy should be considered as a medical model in the geriatric population.
Most patients who can tolerate any dental surgery are acceptable candidates for the implant placement surgery, but the use of implants in the treatment plan may carry substantial risk factors. Because it is important to know and recognize these risk factors, detailed medical history and evaluation are important prior to treatment. The success of implant therapy is greatly influenced by systemic conditions, and many older patients who are in need of this type treatment have one or more of these conditions. The overall health and well-being of the patient is of primary concern when treating this population.

Lessened Manual Dexterity and Visual Acuity May Affect  Oral Self Care Oral Hygiene
Success rate may be comparable to younger age groups when…
 Appropriate modifications of oral health aids are made.
 When adequate instruction and recall intervals are  maintained.
 Less complicated designs of implant abutments are utilized.
It is necessary to consider the patient's present and future ability to accomplish oral hygiene procedures. Elderly patients may have decreased manual dexterity and must be evaluated regarding their ability to maintain good oral health. In patients with decreased ability to perform adequate oral hygiene, design of an implant-assisted or -supported case may need to be simplified. Very complex cases have the potential to present hygiene problems in the future.

Xerostomia
n  Salivary flow declines with age.
n  Many medications prescribed to the elderly will reduce salivary flow.
n  Condition enhances the accumulation of periopathogenic bacteria that could cause peri-implantitis.
n  Oral tissues are more fragile and may cause difficulty wearing appliances that rest on oral mucosa.

Cardiovascular Disease
                Dental implants are not contraindicated if the disease is controlled. Examples of cardiovascular disease include:
·         Hypertension
·         Angina pectoris
·         Myocardial infarction (MI)
·         Congestive heart failure
·         Bacterial endocarditis
Moderate to severe hypertension should be corrected prior to implant surgery. Mild hypertension may be controlled with anti-anxiety measures. Patients with angina should be treated in a hospital setting. Elective implant procedures should be delayed for a minimum of 12 months following the MI or until the patient's physician gives consent for implant surgery. Patients with congestive heart failure may be treated depending upon the severity of the disease. Patients with prosthetic heart valves, valvular damage or joint replacement may require systemic antibiotic prophylaxis prior to the placement of any dental implants.

Diabetes
·         Patients with well-controlled diabetes can have successful implant therapy.
·         In long term care settings, it is very important that the patient’s oral hygiene must be monitored.
·         Patients are at greater risk of infection.
·         Dental implants contraindicated in uncontrolled diabetics.
Type I Diabetes has a higher risk factor then Type II Diabetes for implant therapy; however, neither is an absolute contraindication if the blood sugar level is controlled by diet and/or medication. Much of the long-term success of implant treatment in these patients is dependent upon the patient’s willingness and ability to manage his/her condition.
Diabetic patients are at high risk for infection and in uncontrolled situations can demonstrate poor healing of infected sites.
Complete denture wearers have a greater risk for ulceration of the oral tissues.

Osteoporosis
Potential for patients with osteoporosis have a greater risk of implant failure.
Presence of osteoporosis in one site of the body does not mean it will affect another site.
Evaluate bone density at the implant site.
Osteoporosis is primarily a disease of long bones and tends not to affect the bones of the oral cavity.

Oral Cancer
Fifty percent of oral cancer is diagnosed in age 60 or older.
Post-radiation and post-chemotherapy patients should be evaluated with care.
Implants helpful in replacement of both soft and hard tissues lost as a result of cancer surgery.
Post-radiation patients often have Xerostomia.
Implant Use in Treatment of Maxillofacial Defects

Implants placed in orbit retain prosthetic eye and surrounding tissues.  This would include defects of head and neck cancers as well as oral tissues.

Absolute Contraindications for Dental Implants
Recent valvular prosthesis
Recent MI
Severe renal disorder
Uncontrolled diabetes
Secondary osteoporosis in oral cavity
Alcoholism
Osteomalacia
Active radiation therapy
Severe hormone deficiency
Drug addiction
Heavy smoking
Active periodontal disease4
1)      Recent valvular prosthesis - (within 18 months) increased risk of infection from elective surgery
2) Recent MI - The risk of an additional MI is statistically much greater in a patient with a history of a recent MI. After 12 months, the risk of another MI during a surgical procedure drops to around five percent. Elective implant procedures should be postponed to at least 12 months after an MI.
3) Severe renal disorder.
4) Uncontrolled diabetes - delayed healing and decreased resistance to infection.
5) Osteoporosis in oral cavity - bone may not be dense enough to support implant.
6) Alcoholism - delayed healing, possible clotting disorders and poor oral hygiene.
7) Osteomalacia - bone not strong enough.
8) Active radiation therapy - inadequate healing.
9) Severe hormone deficiency
10) Drug addiction - inability to provide consistent adequate home care.
11) Heavy smoking - inadequate healing, periodontal disease.
12) Active periodontal disease - increased chance of implant failure from infection.4

Relative Contraindications for Dental Implants
·         HIV/AIDS
·         Long-term steroid use
·         Blood disorders
·         Active chemotherapy
·         Renal/pancreatic disorders
·         Psychological disorders
·         Smoking-Heavy smokers do not heal well, and often they have both poor oral hygiene and overall oral health.

Conclusions
Dental implants and implant-assisted or implant-supported fixed and removable restorations remain a valuable treatment option for the geriatric patient.
Reduced ability to maintain oral hygiene due to age is not a contraindication to implant therapy.
The patient’s overall health should be considered first. There exists a greater likelihood of medical complications in this population.

Jumat, 05 April 2013

Infection prevention in dental practice

The  guideline  The  Prevention  of  Infection  in  Dental  Practice  is  a  revision  of  the guideline on practical hygiene in dental practice that was published in 1995, which has now been superseded. The recommendations set out in this guideline are intended for dentists and practice employees. The recommendations are based on a careful analysis of the literature, the expertise of the members of the subcommittee which drew up the guideline and the members of the Dutch Working Party on Infection Prevention, and national observations.

Personal hygiene
Good personal hygiene contributes to the prevention of infection in dental practice and also protects employees themselves against infections.

Nails
Nails should be cut short and be clean .
Nail varnish should be intact, i.e. no chips or flakes.
Artificial nails are not permitted. Artificial nails can be a source of contamination.

Hair
Hair should be clean.
Long hair should be worn tied up or tied back.

Beards and moustaches
Beards and moustaches should be well cared for and cut short.

Jewellery
No rings, bracelets or wristwatches should be worn during work.
It is not possible to wash hands and/or lower arms if these are covered in jewellery.
Piercings are regarded as jewellery. If a piercing hampers the treatment/care of a patient, it should be removed.

Use of handkerchiefs
Paper handkerchiefs should be used during work.
After use handkerchiefs should be immediately thrown away and hands should be washed or disinfected.
The sign in the margin ("a little hand") means that this is a recommendation,
i.e. a preferred measure recommended by the Working Group. handkerchiefs that are carried in trouser pockets or elsewhere in clothing can act as a source of contamination and contaminate the hands every time that they are touched.

Eating, drinking and smoking
In critical and semi-critical areas no eating, drinking or smoking is permitted.
See below for the terms critical and semi-critical areas.

Clothing
During  the  treatment  of  patients  and  the  handling  of  used  instruments  clothing with short sleeves should be worn in order to make good hand hygiene possible.
This  clothing  should  be  changed  daily  and  in  the  case  of  visible  contamination immediately.
During treatment clothing should not be touched with the hands (gloves).

Infections
A  dentist  or  an  employee  with  an  infection,  for  example  a  bronchial  infection  or diarrhoea   or   is   a   carrier   of   pathogenic   micro-organisms,   may   be   a   source   of contamination  for  patients  and  colleagues.  Sometimes they  should  refrain  from treating  patients  and  should  avoid  contact  with  patients  who  are  extra-sensitive  to infections, such as patients who are being given immunosuppressants. If there is any doubt, it is a good idea to ask the advice of a doctor.

Immunisation 
All dentists and all the practice employees should be vaccinated against hepatitis B because of the risk of exposure to blood and the possible risks this causes.
Immunity to hepatitis B should be checked a month after the last injection. People who have not been vaccinated are subject to the guideline 'Preventive iatrogenic hepatitis B.
A  policy  should  be  pursued  relating  to  the  vaccination  status  of  employees  for hepatitis  B,  polio,  rubella  and  whooping  cough  and  the  registration  of  these  in accordance   with  the  national  vaccination  programme   and  the  policy  of  the Commission for the Prevention of Iatrogenic Hepatitis B.

Hand hygiene
Introduction
The skin is composed of various layers, with microorganisms in the upper layers. The micro-organisms present can be roughly separated into:
-    Resident micro-organisms, or permanent flora and
-    Transient micro-organisms or temporary flora.

The  resident  flora  include  the  micro-organisms  that  are  present  in  the  deeper  skin layers. These micro-organisms are virtually impossible to remove from the deeper skin layers. In general, resident micro-organisms are hardly pathogenic (a cause of illness). flora  include  the  micro-organisms  that  are  on  top  of  the  skin  and  that have  got  there  through  contact  with  other  people  or  with  objects,  etc.  These  micro- organisms  are  called  transient  because  they  can  be  easily  removed  by  washing  the hands with soap and water.

The  hands  are  a  major  source  of  contamination.  The  effectiveness  of  good  hand hygiene  has  been  demonstrated  for  the  prevention  of  infection .  There  is  a difference between hand-washing using soap and water and rubbing hand alcohol into the hands. Hand washing and rubbing the hands with hand alcohol are regarded as
the  most  important  measure  for  reducing  the  risk  of  the  transfer  of  microorganisms from one person to another or from one body part to another.

Hand alcohol is the collective name for the alcohol preparations that are used for non- preoperative  hand-disinfection  and  it  can  be  based  on  either  ethanol  or  isopropanol.
The  addition  of  chlorohexidine  or  another  disinfectant  does  not  contribute  to  the immediate germicidal effect that alcohols already have; however, this does have a longer-lasting  effect.  In view of  the  usual  duration  of  dental interventions  (less than two hours) this effect is not necessary.

N.B. The use of disinfectant soap or chlorohexidine scrub is not useful for the same reason.

N.B.  The  frequent  use  of  soap  (over  10  x  a  day)  when  replacing  gloves  between patients   has   dermatological   disadvantages.   For   this   reason   too   hand   alcohol   is recommended.

Hand washing or disinfecting?
For  hand  hygiene  a  choice  can  be  made  between  washing  the  hands  with  soap  and water  and  rubbing  hand alcohol  into  them.  The advantage of using hand alcohol compared with washing the hands with soap and water is that it costs less and is less harmful to the hands.
If the hands are visibly contaminated, they should always be washed with water and normal liquid soap.
Hand alcohol does not clean the hands.

Hand washing or disinfection methods


Water tap
The water tap should not be touched with the hands and should therefore have an
elbow control, foot control or infrared sensor.

Dispensers
Soap and hand alcohol dispensers should be designed in such a manner that they can be operated using the elbow and, when used, the hands cannot contaminate the soap in the nozzle.
Dispensers should have a disposable reservoir that cannot be refilled. The entire bottle should be replaced when the dispenser is empty.
The dispenser should be cleaned when the reservoir is replaced.

Wounds
Open  wounds  on  the  hands  or  skin  lesions should be  covered  with  a  waterproof  plaster, even if gloves are worn.

Drying
Disposable paper towels should be used for drying the hands.

Creams
If the hands are washed, it is important that a fairly rich hand cream is used from a tube or dispenser so that the hands remain unblemished despite the frequent washing.
Creams  should  be  used  from  small  tubes  or  from  dispensers  with  disposable containers that are not refilled.
The use of a cream helps to prevent the drying-out of the skin.

Technique for hand washing
1.    Wet the hands with water from a fast-running tap and cover them with a layer of liquid soap from a dispenser without touching the tap or the dispenser.
2.    Rub the hands together vigorously for 10 seconds; the soap should be rubbed well  into  the  fingertips,  the  thumbs,  the  areas  between  the  fingers  and  the wrists.
3.    Rinse the hands well.
4.    Turn off the tap as indicated in section.
5.    Dry  the  hands  with  a  disposable  towel,  including  the  wrists  and  the  skin between the fingers.
6.    Throw the used towel into the waste bin intended for this purpose.

Technique for rubbing hand alcohol into hands
1.    Apply the hand alcohol from the dispenser to the dry hands without touching the dispenser's nozzle.
2.    Take sufficient hand alcohol to fill the hollow of one hand.
3.    Carefully  rub  the  hands  together  for  around  30  seconds  until  they  are  dry. The hand alcohol should also be rubbed well into the fingertips, the thumbs, the areas between the fingers and the wrists.

N.B. Certain parts of the hands are often forgotten. Frequently forgotten parts of the hands are the fingertips, between the fingers and the thumbs.

Indications for hand washing / disinfection
Hands should always be washed or be rubbed with hand alcohol:
-    before and after each patient;
-    after blowing one's nose;
-    after coughing and sneezing;
-    after a visit to the toilet;
-    before handling equipment that is ready for use;
-    after handling used equipment.

Personal protective equipment

Gloves
Wearing gloves:
-    prevents   hands   coming   into   contact   with   blood,   saliva   and   mucous membranes.  This  is  important  because  of  the  risk  of  contamination  of  the dentist or the employee.
-    reduces  the  risk  of  micro-organisms  being  transferred  from  one  patient  to another via the dentist's or employee's hands.

Non-sterile gloves
Gloves should always be worn when the hands come or could come into contact with   blood,   saliva,   mucous   membranes   or   with   treatment   materials   and contaminated equipment that has been in contact with these.
Gloves  should  be  removed  immediately  after  these  treatments.  They  should  not ome  into  contact  with  clothing  and  equipment  in  the  surrounding  area  such  as telephones, door handles, instruments, keyboards, etc.
New gloves should be worn for each patient.
Working without gloves is only allowed when using a "no touch" technique.
Immediately after the gloves are removed they should be put into the waste and the hands should be washed using soap and water or be rubbed with hand alcohol.
Wearing gloves is not an alternative to hand-washing or disinfection. Refer to the
WIP guideline: Personal protective equipment.
Approved gloves meet the prescribed standards that are shown on the packaging. In The Netherlands this is the standard for gloves that provide protection against chemicals and micro-organisms (EN 455-1/2/3). Latex gloves may contain substances that cause strong allergic reactions in people who are sensitive to them. In this case latex-free gloves should be used. This applies to all employees at the practice.
Washing or disinfecting gloves (using hand alcohol) between patient treatments is not permitted.
Gloves  can  "break  down",  which  means  that  they  let  moisture  through  small, unnoticed holes. Moreover,the quality of the gloves can significantly deteriorate because of the effect of disinfectants, oils and lotions.
If the gloves are damaged during treatment by needles or other sharp objects, new gloves should be put on.

Sterile gloves
If sterile surgical interventions are carried out, the gloves worn should be sterile.
A  sterile  intervention  is  when  there  is  contact  with  sterile  tissue  and  bone  is exposed. Examples are the removal of impacted elements and the preparation and placing of implants and apex resections, Surgical Interventions).
Before sterile gloves are put on, hand alcohol should be rubbed into the hands. If  gloves  are  damaged  during  treatment  by  needles  or  other  sharp  objects,  new gloves should be put on.

Rubber gloves
Sturdy gloves should be worn when cleaning equipment.

Eye protection

The  purpose  of  eye  protection  is  to  protect  the  wearer  against  airway  secretions  or splashes and squirts of blood or other bodily fluids, secretions or excretions.

There are three ways to protect the eyes:

Protective glasses

Normal  glasses  cannot  serve  as  protective  glasses  because  in  the  case  of splashes  or  squirts  the  head  turns  away  on  a  reflex  and  the  sides  of  normal glasses do not offer any protection.

Face shield
Mask with splash shield.
protection should be worn for treating every patient where there is a risk of splashes  or  aerosols  of  blood,  saliva  or  rinse  water  and  when  handling  soiled equipment.

The  reusable  eye  protection  should  be  cleaned  and  then  disinfected  with  70% alcohol after every treatment that involves contamination.

Mask
A surgical mask should be worn for treating every patient where there is a risk of splashes   or   aerosols   of   blood,   saliva   or   rinse   water   and   when   handling contaminated equipment.
A new mask should be used for every patient. This also applies if the mouth/nose mask gets wet.
A normal surgical mask can provide the protection. This mask provides protection against splashes but does not provide protection against the breathing in of small droplets. The  circumstances  under  which  the  use  of  eye  protection  and  a  mask  should  be used are the same; they should therefore always be worn together.

Accidental contact with blood

Accidental contact with blood means exposure to blood or to bodily fluids that have been  visibly  contaminated  with  blood  by  a  percutaneous  wound  or  through  contact with mucous membrane or broken skin.
Accidental contact with blood as a result of puncture/cut accidents occurs mainly in
the following situations:
-    while cleaning sharp equipment (over half of cases),
-    while carrying out interventions (around 40% of cases),
-    while administering a local anaesthetic,
-    while returning a needle to a sleeve.

In addition, a prick accident can occur when placing an unprotected used needle in a
needle container. People can also prick themselves on unprotected needles.

Accidental  contact  with  blood  will  occur  more  often  in  situations  of  high  work
pressure and in particular in critical situations.

Prevention of accidental contact with blood
First and foremost work should be carried out as tidily and as orderly as possible.
Equipment should be cleaned by machine instead of by hand.
Gloves should be worn during the administration of anaesthetic.
Needles should not be bent, broken or otherwise manipulated.
Needles should not be guided using the fingers.
The disposable needle used for (re)anaesthetising a patient should be placed back into the sleeve using one hand only.
The needles should be placed in a needle container after use.
The needle containers should meet the set requirement.
The containers are made of hard plastic and have a device that makes it possible to
separate  the  needle  from  the  syringe  or  the  needle  holder  without  touching  the
needles with the hands. The needle containers should close in such a way that they
cannot  open  spontaneously  and  cannot be  reopened.  It  should  not  be  possible  to
puncture the containers with needles and the containers should be leak-proof [16].
Needle containers should be regularly replaced.
The needle containers should not be overfilled. Therefore they should not be filled
above the line indicated on every needle container.
For  the  handling  of  used  equipment  gloves  should  be  worn  that  protect  against pricks and cuts.

Procedure following accidental contact with blood
Following accidental contact with blood let the wound continue to bleed and rinse
the wound (using water or physiological salt). Then disinfect the wound using a
skin disinfectant.
In the case of contamination of the mucous membranes rinse immediately and as
well as possible with water or physiological salt. This water or physiological salt
should not be swallowed.
Every  dental  practice  should  make  arrangements  about  the  further  treatment  of  accidental contact with blood. This can be done in various ways, for example via the  Occupational  Health  &  Safety  Inspectorate  or  the  GGD  (Municipal  Health Service).

Extended policy on accidental contact with blood is set out in the national guideline: Accidental puncturing .

Cleaning, disinfection and sterilisation

Definitions

Cleaning
Cleaning  is  the  removal  of  visible  dirt  and  visible  and  invisible  organic  material  in order to prevent micro-organisms being able to remain, multiply and spread.

Disinfection
(Thermal or chemical) disinfection is the reduction in the number of micro-organisms (bacteria,  mould  or  viruses)  on  lifeless  surfaces  and  on  intact  skin  and  mucous membranes to a level that is regarded as acceptable.

Sterilisation
A process that kills or deactivates all the micro-organisms on or in an object in such a way that the risk of the presence of living organisms per sterilised unit is smaller than one in a million.

Disinfecting or sterilising equipment?
There are three distinct categories with regard to the treatment of equipment in order  to  make  it  suitable  for  reuse:  critical,  semi-critical  and  non-critical  use.  The  table below sets out the application of these categories and the method of decontamination.

Table 1: Treatment of equipment to be reused
 
Disinfection
Disinfection  should  be  limited  to  situations  in  which  sterility  is  not  required  but  in
which  cleaning  alone  does  not  sufficiently  reduce  the  level  of  contamination.  If
disinfection  is  necessary,  thermal  disinfection  is  preferred.  Thermal  disinfection  is
carried out using water at a temperature of 65 - 100°C or using steam. Refer also to the
WIP  guideline:  Policy  on  cleaning,  disinfection  and  sterilisation.  For  surfaces  and
objects  that  are  not  resistant  to  high  temperatures  chemical  disinfection  should  be
chosen.  Cleaning  should  always  precede  thermal  and  chemical  disinfection.  The
instrument washing machines combine machine cleaning and thermal disinfection.

The following remarks are important for the correct application of disinfection:
-    before disinfection always clean well first
-    use chemical disinfection only in situations set out in the guideline
-    use only legally permitted disinfectants (see below)
-    dilute   and   dose   in   accordance   with   statutory   instructions   as   stated   on   the
instruction leaflet or the label.

Disinfectants
There  are  four  laws  in  The  Netherlands  that  govern  the  use  of  disinfectants  in  a
medical environment, depending on the application area of the disinfectant. These are:
the  Medicines  Act,  the   Medical  Appliances  Decree,  the  Pesticide  Act   and  the
Commodities  Act.  Disinfectants  that  are  permitted  within  the  framework  of  the  first
three acts referred to above can be recognised by their RvG number, CE marking and
N number of the Board for the Authorisation of Pesticides.

The following disinfectants are eligible for use in dental practice:
-    Alcohol
Alcohol is used for disinfecting skin and hands. Refer to the WIP guideline: Hand
hygiene.
70%  alcohol  without  any  additives  is  used  for  disinfecting  small  surfaces  and
objects.
Duration: wet the surface well and leave to dry in the air; in the case of immersion
leave for 10 minutes.

-    Chlorine preparations
250 ppm of chlorine can also be used for surface disinfection.
For surfaces that have been contaminated with blood or other bodily fluids a 1,000
ppm of  chlorine solution is used (250 ppm = 0.025% and 1,000 ppm = 0.1% of
free chlorine).
Duration: wet the surfaces well and leave to dry in the air.

-    Peroxides
Hydrogen peroxide, peracetic acid and sodium perborate are used. Peracetic acid is
permitted  as  an  instrument  disinfectant  and  sodium  perborate  as  a  disinfecting
storage fluid in case cleaning is delayed for some time. Peroxides are corrosive for
a lot of materials including non-eloxated aluminium, brass, rubber and textile.

Sterilisation
Sterilisation  is  required  for  critical  equipment,  substances,  etc.  that  come  into
direct contact with sterile tissues or organs.
The  sterilisation  of  equipment  that  is  intended  for  reuse  takes  place  in  a  steam
steriliser.

Steam sterilisers (autoclaves)
The steam steriliser should be suitable for the intended use.
The  supplier  should  be  asked  if  the  equipment  provided  is  suitable  for  the
instruments likely to be sterilised.

Steam  sterilisers  (autoclaves)  can  be  bought  in  various  sizes  and  types.  Particularly
important  for  the  steam-sterilisation  process  is  the  removal  of  air  from  the  steam
steriliser,  hollow  instruments  and  packaging;  as  well  as  the  drying  of  sterilised
products. These processes are described in sections 7.4.1.1 and 7.4.1.2.

Removal of air from steam steriliser, hollow instruments and packaging
The  presence  of  air  obstructs  the  sterilisation  process.  The  following  principles  are
mostly used to remove the air from the steam steriliser.

-    Removal of air through displacement with steam
This  principle  is  used  in  simple  autoclaves  and  pressure-cookers.  Steam  is
produced in the steam steriliser room by boiling water; the pressure in the steam
steriliser  room  increases  somewhat.  The  steam  mixes  with  the  air  in  the  steam
steriliser  room  and  escapes  from  the  steam  steriliser  room  via  a  ventilation
opening. The longer the boiling and ventilation, the more air is forced out of the
steam  steriliser  room  until  there  is  virtually  pure  steam  in  the  steam  steriliser
room.  The  pressure  then  continues  to  increase  to  1  or  2  bar,  whereby  the
sterilisation temperature of 121°C or 134 °C is reached. The major advantage of
this principle is the simplicity and the consequential low costs for which a steam
steriliser can be produced. However, the disadvantage of this is that the air cannot
be removed from hollow objects.

-    Removal of air using a multiple deep vacuum
This is the most effective way of removing air, not just from the steam steriliser
room  but  also  and  -  in  particular  -  from  hollow  instruments.  The  air  is  actively
removed from the steam steriliser room and the products using a vacuum pump.
When the air has been removed, the steam can simply penetrate into the hollow
instruments.  The  major  advantage  of  steam  sterilisers  that  use  a  fractionated
vacuum is that they can sterilise a large range of instruments.

The types of air removal described here are the two extremes. There are more ways of
removing the air from the steam steriliser room and the load. All types of air removal
can  in  theory  be  used;  however,  the  suitability  depends  on  the  instruments  to  be
sterilised.   The   manufacturer   of   the   steam   steriliser   should   carry   out   tests   to
demonstrate the suitability of the sterilisation process for the instruments.

N.B. A common practice in the Netherlands is the use of a 3-minute process at 134°C,
or a 15-minute process at 121°C.

Drying the sterilised products
The  laminate  in  which  the  instruments  are  packaged  should  be  dry  when  the  steam
steriliser door is opened. Wet packaging lets bacteria through, which means that the
contents will not remain sterile. The products can be dried in the steam steriliser using
a vacuum pump or by blowing filtered air through them (for a long time).
Instruments   that   need   to   be   sterile   (as   they   are   used   to   puncture   mucous
membranes)   should   be   sterilised   packaged   and   stored   packaged   after   the
sterilisation process; therefore, the steam steriliser should be capable of drying the
packaging and the contents at the end of the sterilisation process.

Validation
The manufacturer should have demonstrated the suitability of the steriliser for the
intended application.
Validation  by  the  user  is  required  if  the  user  wants  to  sterilise  instruments  or
products that fall outside the intended application of the steriliser.
Periodic  maintenance  of  the  steam  steriliser  should  be  carried  out  in  accordance
with   the   manufacturer's   or   importer's   instructions.   Maintenance   should   be
followed by simple control measurements to guarantee the proper functioning of
the steriliser.

The range and development of instruments used in dental practice is limited, stagnant
and unvaried between the different practices. The range can be well estimated by the
manufacturer of the steriliser, and should be taken into account during the design of
the  steriliser.  The  application  and  the  limitations  of  the  steriliser  should  be  clearly
stated.   If   the   user   merely   uses   the   steriliser   for   the   application   stated   by   the
manufacturer,  an extensive validation - such as that carried out by  hospitals - is not
necessary;  periodic  maintenance  followed  by  control  measurements  is  sufficient.
Guidelines are currently being prepared by the standards commission on Sterilisation
and Sterility.

Methods to clean, disinfect and sterilise instruments

Cleaning
The instruments should be cleaned before the disinfection or sterilisation process;
great  care  should  be  taken  with  the  inside  of  hollow  objects.  The  inside  can  be
cleaned using inter-dental brushes or a water pressure gun.
The instruments should be properly dried after cleaning.

Sterilisation of instruments in category A (see Table 1).
Separate  instruments  should  be  packaged  before  they  are  placed  in  the  steam
steriliser.

Separate instruments are best packaged in laminate bags that are specially intended for
steam  sterilisers.  The  laminate  bags  should  meet  the  requirements  set  out  in  NEN-
EN868-5 (Packaging material and systems for medical devices to be sterilised - Part 5:
Hot-sealable  laminate  bags  and  hot-sealable  laminate  on  a  roll  manufactured  from
paper  and  plastic  film -  Requirements  and test methods). There are various sizes of
laminate bags, which should be sealed; and there is laminate on a roll, which should be
sealed on both sides. It is not enough to close the laminate bags by folding them over
unless bags with an adhesive strip are used. Sets and sharp or delicate instruments can be  packaged  and  sterilised  in  wire  baskets  with  a  single  or  double  layer  of  'non- woven'  around  them.  Sheets  of  'non-woven'  should  comply  with  NEN-EN868-2 (Packaging material and systems for medical devices to be sterilised - Part 2: Sheets of
packaging   material   for   sterilisation   requirements   and   testing   methods).   Further
information about the method of packaging using sheets of 'non-woven' is given in the
NEN  guideline  R3210  (Packaging  of  medical  devices  to  be  sterilised  in  institutions
and sterilisation companies).
If there is no indicator strip on the packaging material, a piece of indicator tape
should be attached. This indicator strip (or tape) can prevent confusion with non-
sterilised instruments.
After  completion  of  the  disinfection  process,  hands  should  be  washed  or  rubbed
with hand alcohol before the instrument washing machine is emptied.
There should be a clean area for the load that comes out of the steam steriliser.
The load should be left to cool for at least half an hour after sterilisation.
The sterilised instruments should be stored in their packaging in a clean, dry, dust-
free place.
A  sticker  should  be  attached  to  the  laminate  side  of  the  packaging  stating  the
sterilisation date and the date until which the sterility is guaranteed.
The shelf life of packaged sterilised products is six months as long as the storage
of the sterilised products is in closed drawers or cupboards.
Sterilised  packaging  is  vulnerable.  The  following  things  should  be  taken  into consideration.
-    Do  not  write  on  the  packaging;  instead,  attach  an  pre-written  sticker  to  the
laminate packaging. A pen will easily puncture the paper or the laminate.
-    Do  not  make  bundles  of  laminate  bags;  therefore,  do  not  use  staples,  paper
clips or elastic bands.
-    Do not cram laminate bags into cupboards or drawers.
-    Do not store laminate bags in places where they could get damp or wet, such
as on the kitchen sink unit.

Sterilisation of instruments in category B (see Table 1).
If  the  decision  to  sterilise  is  taken,  the  sterilisation  should  be  carried  out  in  the
same  way  as  the  sterilisation  of  instruments  in  category  A,  with  the  difference
being that these instruments do not need to be packaged.
There should be a clean area for the load that comes out of the steriliser.
These instruments should be stored in a clean, dry, dust-free place (e.g. in a closed
cupboard or drawer) after sterilisation.

Thermal disinfection of instruments in category B
Thermal disinfection should be carried out in an instrument washing machine that
is designed in such a way that the inside of instruments with hollow spaces is also
cleaned and disinfected adequately. This machine cleans and disinfects in a single
process. Specifications should comply with NEN-EN-ISO 1588-3-1.
After  completion  of  the  disinfection  process,  hands  should  be  washed  or  rubbed
with hand alcohol before the instrument washing machine is emptied.
There should be a clean area for the load that comes out of the instrument washing
machine.

The disinfected instruments should be stored in a clean, dry, dust-free place.

Disinfection of instruments in category C ( see Table 1)
Instruments in category C that are also used for category A or category B should
be treated as instruments in category A or B.
Although this is not necessary  for instruments in category C, this avoids a risky
misunderstanding.
Instruments  that  are  used  only  for  category  C  should  preferably  be  cleaned  and
thermally disinfected in an instrument washing machine.

If  thermal  disinfection  is  not  possible  because  instruments  are  resistant  to  this
procedure, the instruments should be cleaned and properly dried, then chemically
disinfected  by  being  immersed  for  10  minutes  in  70%  alcohol;  they  should
subsequently be dried in the air.
The  alcohol  container  should  be  closed  off  with  a  lid.  The  alcohol  should  be
refreshed daily. The container should be emptied, cleaned, dried and then refilled
with alcohol.
Hands  should  be  washed  or  rubbed  with  hand  alcohol  before  the  disinfected
materials are touched.
The disinfected instruments should be stored in a clean, dry, dust-free place.

Methods to clean and disinfect other instruments
When dental (extraction) equipment is bought, the possibility of being able to clean it
should  be  an  important  consideration.  Smooth  surfaces,  smooth  hoses  and  foot
operation of chair, treatment unit and waste bucket contribute to the reduction in the
risk of contamination and make good cleaning possible.

The treatment chair
The treatment chair should have as many smooth surfaces as possible.
The  chair  should  be  cleaned  using  water  and  a  detergent  immediately  after  it
becomes visibly contaminated and on a daily basis at the very minimum.
If there are splashes of blood on the chair, these should be immediately removed
with  a  tissue;  then  the  cleaned  surface  should  be  disinfected  with  70%  alcohol.
When purchasing a chair, it should be checked that the chair material is resistant to
disinfection agents containing 70% alcohol.

Handles
The  handles  of  lamps,  X-ray  equipment,  treatment  units,  touch-control  panels,
timer buttons, etc, that are touched during the treatment of the patient should be
disinfected with 70% alcohol after the completion of the treatment. If the handles
are visibly contaminated, they should be cleaned with water and a detergent before
they are disinfected.
An alternative to this is to wrap the handles in disposable plastic film and replace
this after each patient.
If this is not possible, the handles can also be replaced and thermally or chemically
disinfected.
Dental tray
The use of a disposable dental tray is preferred.
A non-disposable tray should be disinfected after each patient with 70% alcohol. If
the  tray  is  visibly  contaminated,  this  should  first  be  cleaned  with  water  and  a
detergent.
An alternative to cleaning is to cover the tray with protective waterproof material;
subsequently, this need only be disinfected and changed.

Multi-function syringe
The tip of the multi-function syringe should not be reused.
After each patient, the multi-function syringe should be rinsed for 10 seconds with
water and air. The used tip of the syringe should be removed before rinsing.
The outside should be disinfected with 70% alcohol after each patient.

Holders
The holders of rotating instruments, extraction hoses, multi-function syringes, etc.
should  be  disinfected  with  70%  alcohol after  each  patient.  In  the  case  of  visible
contamination,  this  should  be  preceded  by  cleaning  with  water  and  a  detergent.
Only after disinfection of the holder should the disinfected instruments be returned
to this. The order this occurs in is very important.

Extraction unit
The extraction hose should be briefly rinsed with clean water after each patient.
The extraction hoses should be cleaned at the end of every day by  sucking up a
detergent in warm water through the hoses.
The choice of detergent depends on the manufacturer's instructions. If the wrong
detergent  is  used,  the  formation  of  foam can  result  in problems  occurring  in  the
extraction unit's motor.
When the screen or the hoses of the extraction unit are cleaned or replaced, there is
always the risk of splashes.
Gloves (rubber), mask and protective glasses should be worn when the amalgam
separator is cleaned or replaced.

Spittoon
The spittoon should be properly rinsed with water after every patient. If necessary
(if  it  is  visibly  contaminated),  first  left-over  impression  material,  etc.  should  be
removed and then the spittoon should be cleaned with a tissue using water and a
detergent.

Other dental equipment
The operating controls that are touched should be cleaned after use with water and
a detergent, and then disinfected with 70% alcohol.
The (soft) laser should be fitted with replaceable tips, which should be thermally
disinfected after use. The lightstick should be thermally disinfected and the lamp
should be disinfected with 70% alcohol.

Hand pieces and other intraoral instruments
As a result of the technical design of hand pieces and other intraoral instruments, there
will  be  contamination  of  the  inside  of  these  pieces  during  use.  Consequently,  it  is
necessary to clean these then to disinfect or sterilise them after use for each patient.

The cleaning of hand pieces and other intraoral instruments requires special attention.
The rinsing of these, as is done before sterilisation, cannot be regarded as cleaning. In
addition to the removal of any blood and saliva, good cleaning means the removal of
any remaining oil. This requires treatment with a detergent.

After   sterilisation   or   thermal   disinfection,   the   hand   pieces   and   other   intraoral
instruments can be oiled. Only by following the steps - cleaning, thermal disinfection
or  sterilisation,  and  oiling  -  in  this  order  can  there  be  sufficient  certainty  that  the
handpiece is microbiologically safe.

There is special equipment for the cleaning, disinfection or sterilisation and oiling of
hand pieces and other intraoral instruments. The purchase and use of this equipment is
strongly recommended, also for reasons of microbiological safety. This also saves on
maintenance costs and ensures that the hand pieces and other intraoral instruments last
longer.


Administrative equipment
Administrative equipment should preferably be outside the splash zone.
Computers, telephones and other office equipment should be cleaned domestically.
Keyboards and mice can best be protected with a flat, smooth, plastic cover that is
easy to clean and to disinfect or can be replaced.
If this equipment is touched with contaminated hands or gloves during treatment, it
should also be disinfected after treatment.

Animals and plants

The   presence   of   animals   and   plants   is   not   permitted   in   the   critical   area  .
Exceptions may be made for guide dogs.

Methods to clean and disinfect areas and bathrooms

Cleaning frequency
The non-critical areas should be cleaned on a weekly basis at the very minimum,
and the semi-critical and critical areas daily.
Pedal bins and waste-paper baskets should be emptied daily.

Method for cleaning critical and semi-critical areas
'Dry'cleaning  should  be  carried  out  as  much  as  possible,  with  a  duster  for
example.
Any contamination with organic material should be removed for example with a
tissue before wet-cleaning can be carried out.
An alkaline cleaning agent is recommended for the daily cleaning of bathrooms.
For  the  prevention  and  removal  of  limescale  on  sinks  and  toilets  an  acidic
(decalcifying) agent is recommended.

Disinfection
In general cleaning does not need to be followed by disinfection.

If  blood  is  spilt  on  surfaces,  furniture  or  objects,  the  contaminated  spot  should  be
immediately  cleaned  and  then  disinfected  with  70%  alcohol,  or  with  1,000  ppm  of
chlorine. Large surfaces cannot be disinfected using alcohol because of the risk of fire.
The contaminated spot should be dried in the air after disinfection. Prior cleaning is
required as disinfectants are to some extent rendered ineffective by  organic material
such as blood (proteins).

Maintenance of the cleaning and disinfection material
Disposable materials should be used as much as possible.
Cleaning material that is reused should be cleaned, dried and cleared away daily
after the work has been carried out. This helps to prevent cleaning being carried
out  with  contaminated  objects  and  the  opposite  result  being  achieved:  an  even
greater contamination.
If  brushes  are  required,  plastic  brushes  should  be  used  as  wooden  brushes  are
difficult to clean.
If a brush is used for cleaning an item that is potentially contaminated with blood,
the  brush  should  be  disinfected  after  cleaning  for  at  least  five  minutes  using  a
1,000 ppm of chlorine solution, then rinsed, dried completely in the air and stored
dry.
If a bucket is used for cleaning an item that is potentially contaminated with blood,
the bucket should be disinfected after cleaning for at least five minutes using 1,000
ppm of chlorine.
Disposable  absorbent  cloths  should  be  used.  If  these  are  reused,  they  should  be
washed in a washing machine.
Sponges  and  chamois  leathers  may  only  be  used  for  cleaning  of  windows  and mirrors.

Removal of waste 
Household waste should be put out for the refuse  collection service in the usual
way.
Material that is contaminated with blood should be placed in a sturdy plastic bag
before it is deposited in the dustbin.
Full needle containers are seen as waste that has a risk of infection; therefore, they
may not be put out with the normal waste. The best thing to do is to hand them
over as chemical waste (using an environmental box).
The  content  of  screens  and  extraction  units,  and  left-overs  from  the  amalgam
separator should be thrown away as chemical waste.

Safe working practices in dental practice

General
The  dentist  and  the  employees  should  adopt  safe  working  practices  and  pay
ongoing attention to the prevention of infection; in other words, in accordance with
the 'best practice' rules of dentistry.
Treatments should be carried out in such a way that the risk of contamination for
the dentist, patient, employees and workplace is minimised. The underlying notion
for this is that work should be carried out with assistance.
Other  important  conditions  are  the  organisation  of  the  practice,  the  ergonomic
layout of the practice, the correct routing of clean and contaminated equipment, a
tidy workplace, and application of this guideline.

The work area
The optimum separation of 'clean' and 'unclean' aspects - such as the layout of the
practice, the materials, the routing and the treatment - is an essential basis for hygienic
practices.

The areas in the dental practice should be categorised as:
-    critical areas (treatment room, laboratory, area where the instruments are cleaned
and disinfected)
-    semi-critical areas (toilets)
-    non-critical (public) areas (entrance, corridor, office, waiting room).

Layout
There  should  be  separate  areas  within  the  dental  surgery  for  treatment  and
administration;   as   well  as   for   cleaning,  disinfection   and   the   sterilisation   of
equipment and materials.

Furnishing
The   treatment   room   should   have   sufficient   worktop   surfaces,   with   a   clear
separation between 'clean' and 'unclean'. The hand-washing unit should always be
located on the 'unclean' worktop.
The areas for cleaning, disinfection and sterilisation should be divided into a clean
and a contaminated area.
Cleaning and disinfection should take place in the contaminated area; packaging
and sterilisation should take place in the clean area.
During furnishing, attempts should be made to ensure that all the surfaces can be
cleaned easily and properly.
Smooth surfaces without seams and cracks are preferred as these can be cleaned
more easily.
As  little  separate  equipment  and  material  as  possible  should  be  placed  on  the
worktops.  Equipment  and  materials  that  are  used  only  occasionally  should  be
stored in closed cupboards.
This reduces the risk of contamination and means there is less to be cleaned.
Clean and sterile equipment and materials should be stored in closed cupboards or
drawers.
Clean, dry cupboards are required for the storage of equipment, and there should
be  sufficient  room  in  these  cupboards  to  store  the  equipment  separately.  An
overfull  drawer  or  cupboard  causes  crumpled  packaging,  which  can  cause  hair
cracks  in  the  packaging  that  may  result  in  the  sterility  of  the  contents  being
affected.

The treatment unit
There are two major problems with regard to the treatment unit: contamination of the
inside caused by a reflux of water into the system when the spray water feed is turned
off; and a reduction in the microbiological quality of the water because it stagnates in
the pipeline.

Reflux
A treatment unit should have a device that  prevents  the  reflux  of water  in  the  pipes
(anti-retraction valves).

Stagnancy of water in the pipes
Stagnancy of water (at night and at the weekend) causes the formation of a biofilm on
the inside of the plastic pipes of the unit and the growth of various bacteria, including
Legionella . Rinsing these pipes achieves a 10-fold - 20-fold reduction in the
number of distally forming bacteria.
In the morning and before the first treatment, all the pipes running from the unit to
the  instruments  (multi-function  syringe,  airotor,  micromotors,  assistant's  multi-
function  syringe,  cavitron)  should  be  rinsed;  and  it  must  be  ensured  that  all  the
instruments/openings are separately rinsed through for at least 30 seconds.
The used pipes, without the hand pieces and other intraoral instruments, should be
rinsed through for at least 10 seconds between consultations. This is not necessary
if instruments with anti-retraction valves are used.

Disinfecting the pipeline system and/or adding a disinfectant to the unit water results
in  a  water  quality  that  in  many  cases  meets  the  required  bacteriological  standard  of
<200 kve/ml [24-30].

When a new unit is purchased, it is recommended that a unit be chosen which has an
integrated,   often   semi-automatic   water   disinfection   system.   These   modern   units
usually guarantee an easy, reliable disinfection of the water and the pipes. Units with
this kind of system should be fitted with a reflux device (BA safety device) to prevent
the water flowing back into the network (NEN-EN 1717).

Units that are not yet ready for replacement can be disconnected from the water pipe
and fitted with a bottle that makes it possible to (manually or automatically) disinfect
the bottled water and, thus, the water in the unit's pipes. Compressed air in the unit
should then be used to move the water-plus-disinfectant from the bottle into the pipes.
In  general,  disinfectants  with  hydrogen  peroxide  or  preparations  based  on  peroxides
produce good results [26]. The concentration of the hydrogen peroxide in the bottled
water  is  around  300  ppm  (0.03%).  This  can  be  checked  using  peroxide  test  strips.
Pipes  on  units  with  a  bottle  device  can  also  be  disinfected  by  leaving  a  special
disinfectant in the pipes over the weekend. Ordinary tap water can then be used in the
bottle during the week.

Aerosols
The spread of aerosols should be kept to a minimum with the help of an effective mist extractor.

Other materials
Hot-water bath
The  temperature  of  the  water  in  the  hot-water  bath  used  to  melt  wax  should  be
raised to 95°C for five minutes at the end of each working day, as the water is a
potential source of contamination.
At the end of the working week, or if the bath has not been used for over 24 hours,
it should be emptied after boiling.
To  prevent  contamination  of  the  water,  no  hands  should  be  placed  in  the  water.
Wax sheets should be placed in the bath using tweezers and taken out again using
tweezers.
Material that has been in contact with a patient (objects or wax) should never be
placed (again) in the water bath.

Hydrocolloid conditioner
The  hydrocolloid  impression  material  should  be  placed  in  the  thermostatically
controlled water bath (temper-bath) in the tube, and not on a spatula.
This  prevents  the  impression  material  being  contaminated  by  the  conditioner
water.

Materials and stocks
Materials such as rolls of cotton wool, pellets of cotton wool and articulation paper
should be stored and covered in such a way that it is impossible for these materials
to be contaminated in the case of aerosol formation during a treatment.
For  each  treatment  only  the  materials  required  for  this  treatment  should  be
prepared.  Unused  materials  that  have  been  within  the  splash  zone  during  the
treatment are regarded as having been used during the treatment.

Drills
The  drills  should  be  stored  in  such  a  way  that  they  cannot  be  contaminated  by
splashes or aerosols during the treatment.
For each treatment, the drills required for this treatment should be prepared.

X-ray equipment
The X-ray equipment may be operated with used gloves as long the parts touched
are disinfected with 70% alcohol following the end of the treatment.
The packaged image should be rinsed with tap water before it is inserted into the
developer.
This is not necessary if a system is used that has a separate protective film around
the image.
Parts  of  the  developer  that  have  been  touched  should  be  disinfected  using  70%
alcohol.
Digital X-ray equipment uses a sensor that is connected to the computer via a cable or
phosphorous plates.
The sensor is used with a sleeve; this should be put in the waste after use.
The phosphorous plate is used with a sleeve that should be disinfected using 70%
alcohol  after  use;  the  sleeve  should  then  be  removed  and  put  in  the  waste.  The
phosphorous plate can now be read in.

Impression material
Before impression material can be sent off, it should be cleaned using water. Then
the  impression  should  be  immersed  in  0.1%  hypochlorite  for  five  minutes.  The
impression should then be rinsed under the tap and packed in a plastic bag.
No soap should be used for the cleaning as this can adversely affect the quality of
the impression.

Pieces of work that come from a dental laboratory
Pieces  of  work  from  a  dental  laboratory  should  be  rinsed  and  disinfected  using
70% alcohol before they are tried or fitted.
Pieces of work that are returned to a dental laboratory should be disinfected in the same way as impressions.

Surgical interventions
An assistant should always be present when surgical operations take place. Sterile
operations should be carried out in an independent treatment room that meets the
requirements set out in the WIP guideline: Circumstances during (minor) surgical
and invasive procedures (Tables 2 and 3).
The dentist and assistant(s) should wear (a) clean protective jacket(s) and the other
personal protective equipment.
The patient's face should be covered with a sterile cloth (also a sterile area).
In the case of surgical operations, sterile equipment and sterile materials should be
used that have been laid out in a sterile area.
The  rotating  instruments  should  be  connected  to  an  external  water-cooler  that  is
supplied with sterile water or a sterile physiological salt solution.
Sterile  water  or  a  sterile  physiological  salt  solution  should  always  be  used  for
rinsing the wound area.